We will use the location to give you relevant local information across MoreDirt.
2855 Views
Want to comment and rate this photo? Login or Sign-up by clicking the button below.
gingerflash01371 said on 23 July 2009
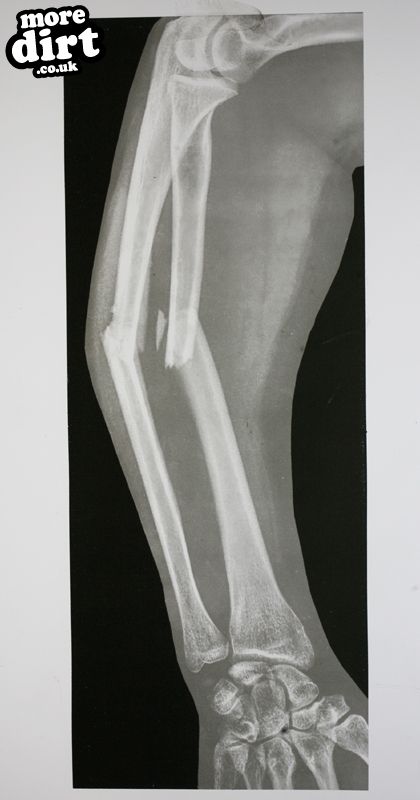
Dont worry about it ur arm will heal and u will get back jumping soon!!! rate my bike plz!!
Please login to reply to this comment.
MiniMadness09 said on 23 July 2009
oww looks nasty. hope it gets better soon and you are out riding again soon :)
callumdirt said on 24 July 2009
is that soposed to be your arm lol
hird1994 said on 27 July 2009
bigdave2k9 said on 6 August 2009
ouch!!! how u do tht?
4 Comments
gingerflash01371 said on 23 July 2009
Dont worry about it ur arm will heal and u will get back jumping soon!!! rate my bike plz!!
Please login to reply to this comment.
MiniMadness09 said on 23 July 2009
oww looks nasty.
hope it gets better soon and you are out riding again soon :)
Please login to reply to this comment.
callumdirt said on 24 July 2009
is that soposed to be your arm lol
hird1994 said on 27 July 2009
no its my uncles after a cow kicked himPlease login to reply to this comment.
bigdave2k9 said on 6 August 2009
ouch!!! how u do tht?
Please login to reply to this comment.